
잇몸이 자주 피나고 붓고 통증으로 고생하는 분 계신가요?
만약, 아래 경우에 해당하신다면, 제 경험담과 정보가 도움되실 것 같아요!
잇몸 통증의 유형
★양치질을 할 때 자주 피가 나고, 잇몸이 부은 것이 혀로 느껴지는 분
★아무것도 안먹으면 괜찮다가도 조금만 딱딱한 것을 씹으면, 한동안 어금니를 비롯해
전체적으로 이빨과 잇몸이 욱신거리고 얼얼해서 통증으로 고생하시는 분?
★잇몸 내려앉음이 느껴지고 염증이 생긴 것 같은데, 이게 충치 때문인지? 원인이 헷갈리는 분?
★단단한 것을 씹으면 온 이가 다 빠져버릴 것 같이 아파서, 부드러운 것만 골라 드시는 분은요?

제가 말씀드린 유형 중 하라도 속하시면, 귀 기울여 주세요. ^^
저도 한동안 잇몸이 아파서 고생을 해 왔고, 드디어 제 통증의 원인을 찾아서 해결했어요!
그리고 이제는 더 이상 재발하지 않도록 잘 관리하고 있어요.
그래서 저처럼 고생하시는, 혹은 앞으로 고생하실지도 모르는 분들에게, 꿀팁을 공유하고 싶어서 글을 적게 되었네요.

물론 가장 빠른 방법은 치과 진료를 통한 원인 발견
네, 치과에 가서 전문의로부터 진단을 받으면, 이보다 정확한 것은 없지요. ^^
하지만 바빠서 치과에 갈 시간도 애매하신 분은, 제 정보가 도움이 되지 않을까 합니다!
그리고 저는 잇몸이 아팠다가 괜찮았다가 아팠다가 하는 걸 반복했었거든요.
치과는 스케일링으로 1년에 한 번만 가는지라, 굳이 치과를 안 가게 되더라고요.
제가 설명드리려는 치료 방법은, 나중에 치과 의사 선생님에게도 확인받은 정보랍니다. ^^
그래서 잇몸 통증의 원인은?
제가 그동안 검색해 봤던 잇몸 통증의 원인들은 아래와 같았어요.
★충치로 인한 잇몸 통증 - 가만히 있을 때도 통증이 있으면 충치일 수 있어요. 하지만 씹을 때만 아프다면 충치는 아닐 확률이 높다고 합니다.
★이가 갈라지거나 깨져서 발생하는 통증 - 확률이 낮지만 이것도 가능성이 있다고 해요. 이건 거울로 잘 살펴보시거나, 이가 흔들리는지 보면 알 수 있을 것 같아요.
★잘못된 양치질로 인한 잇몸 손상 - 양치질을 너무 강하게 하거나, 혹은 밥 먹을 때나 잠잘 때 습관적으로 이와 잇몸에 충경을 자주 주는 것으로 잇몸이 상하는 경우. 이때는 찬 거나 뜨거운 것을 먹을 때 시리기도 할 수 있어요.
★단순히 컨디션이 나빠서 - 잠을 자지 못하거나 몸 컨디션이 전체적으로 너무 나쁠 때 이빨과 잇몸에도 아픔을 느낄 수 있어요. 이 경우는 단순히 컨디션만 회복하면 된답니다.
★이빨 사이에 음식물이 껴서, 잇몸 염증을 발생시키고, 잇몸 뼈를 내려앉게 만드는 경우! - 제 경우랍니다.^^
설명드린 것과 같이, 저는 맨 마지막 유형이었어요.
저는 이빨 사이에 뭐가 끼어 있는지도 몰랐답니다. 양치질도 열심히 했고요.
그런데도 어금니 사이에 음식물이 끼어서, 잇몸 염증을 일으키고 며칠 동안 고생하게 만들 줄이야... ㅠㅠ
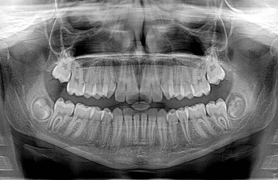
알고 보니 제 경우는 사랑니가 숨어서 나는 형태에서 많이 나온다고 하더라고요.
아래 사진과 같이 사랑니가 숨어 있는 경우, 어금니의 뿌리 쪽을 누르기 때문에 이빨 사이 간격이 넓어지고,
음식물이 나도 모르게 끼어 있을 수 있다고 해요.
아래 사진에 맨 안쪽 어금니 사이의 간격이, 다른 이빨 사이의 간격보다 떨어져 있는 것 보이시죠?
저처럼 사랑니가 숨어 자라서 발치를 하지 않는 분들의 경우에는, 저와 같은 유형일 가능성이 높다고 보면 되겠죠?

원인을 알았으니, 잇몸 통증의 치료 방법은?
위에서 저와 같은 유형의 분들에게 제안하는 치료 방법입니다.
물론 치과 치료를 받는 것도 방법입니다. ^^
아마 치과에서 잇몸 통증을 덜어주고 염증을 빨리 낫게 하는 치료를 해주실 거에요.
하지만, 이것이 영구적인 해결 방법은 될 수가 없어요. 또 음식을 먹으면 음식물이 이빨 사이에 끼게 되고, 다시 염증은 생길 테니까요. ㅠㅠ
그래서 제가 권해 드리는 치료 방법은 아래와 같습니다.
★잇몸이 붓고 피나면, 잇몸약(치은염 약과 진통 소염제) 으로 긴급 처방을 한다.
치은염 약의 대표적인 브랜드는 이가탄 입니다. 역시 유명한 인사돌은 잇몸 아픈데 긴급 처방하는 약은 아니고, 잇몸 뿌리 쪽 건강을 예방하는 약이라고 보시면 됩니다.
비싸고 양 많은 약을 구입하실 필요는 없고요, 약국에서 잇몸이 붓고 피나서 긴급 처방용으로 달라고 하시면, 10 캡슐 정도 있는 약으로 주실 거예요. 저는 덴파사 라는 치은염/치주염 약을 받았고, 확펜 이라는 진통소염제를 같이 받았어요.
이 잇몸약들로 이틀 정도만 먹으면 당장 잇몸 통증과 부은 것들을 빨리 가라앉을 거예요.
★양치질을 이 사이에 신경 써서 하고, 매번 치실을 해준다!
양치질 중요한 건 다들 아실 거예요. 칫솔과 치약의 브랜드가 크게 중요한 건 아닌 것 같아요. 너무 강하지 않고 부드러운 보통모 이면 충분해요. 대신 양치질할 때, 이빨 사이에 칫솔모를 집어넣으려고 노력하듯이 하면서 위아래로 쓸어 주시면 됩니다.
★그리고 더 중요한 것은 치실인데요,
이빨에 뭐가 끼어있는 것 같지 않아도 매번, 뭘 먹었을 때마다 해주는 게 좋아요!
이빨에 뭐가 끼어있지 않은 것 같아도 실제로는 끼어있는.. 이것이 잇몸 염증을 만들고, 잇몸을 서서히 내려앉게 하거든요.
매번 치실하는게 부담스러우신 분들은, 일회용 치실을 챙겨 다시시면서, 음식물이 자주 끼는 맨 안쪽 어금니만이라도 해주시는 게 정말 많이 도움된답니다. ^^
잇몸 영양제 같은 것도 도움이 되겠지만, 저는 거기까진 신경 쓰지 않았어요.
단지 양지칠과 치실만 열심히 하다 보니까, 잇몸 통증은 더 이상 느껴지지 않고, 이제는 단단한 음식을 먹어도 문제가 없더라고요. ^^ 이빨 사이에 그 조그만 잇몸 부위에 생기는 염증이 그렇게 무서운 것인 줄 전에는 몰랐던 거죠.
그리고 이후에 치과에 갔을 때도 의사 선생님이 엑스레이도 찍어 보고 하시고는, 제가 찾은 방법이 정확한 해결책이 맞다고 설명해 주셨어요! ^^
만약 저처럼 잇몸이 붓고 피나서 고생하시는 분들은, 지금 당장 제 치료 방법을 따라 해 보는 건 어떨까 생각해요.
정리하면,
1. 당장 약국에 가서 치은염 약과 진통 소염제를 드셔서 염증을 가라 앉히고요,
2. 양치질과 치실을 매 끼니마다 제대로 하셔서, 염증이 생길 가능성 조차 없애 버리자고요!
그래서 우리 모두 잇몸 통증 걱정 없이, 맛있는 거 많이 먹고 즐겁게 살아야죠! ^^

'기타 꿀팁' 카테고리의 다른 글
| 밖에서 갑자기 화장실 급할때 개방된 공중화장실 찾는법 (급똥 마려울때!) (18) | 2020.06.11 |
|---|---|
| 모르는 여자들이 페이스북 "Facebook 친구 요청을 보냈습니다." 왜? ㅁ캠피싱 주의! (12) | 2020.06.04 |
| 생활의 지혜 모음 - 유튜브 채널 추천 (꿀팁, 5 분 Tricks) (10) | 2020.05.31 |
| 남자 노래 연습하기 좋은 12 곡 추천! (발라드 위주) (8) | 2020.05.29 |
| 대학생 레포트로 돈버는 방법 (수익인증!) - 해피캠퍼스, 레포트월드, 올레포트 등 (2) | 2020.05.23 |
